Современные методики применения МРТ в диагностике нарушений мозгового кровообращения
- Современные методики применения МРТ в диагностике нарушений мозгового кровообращения
- Связанные вопросы и ответы
- Что такое МРТ и какой принцип лежит в его основе
- Какие симптомы и признаки могут указывать на нарушения мозгового кровообращения
- В чем отличия между МРТ и другими методами диагностики нарушений мозгового кровообращения
- Как проходит процедура МРТ ангиографии и насколько она эффективна для обнаружения сосудистых патологий
- Как часто следует делать МРТ для контроля состояния мозгового кровообращения
- Какие результаты МРТ могут помочь врачу определить дальнейшее лечение при нарушениях мозгового кровообращения
- Какие факторы могут повлиять на точность результатов МРТ при диагностике сосудистых заболеваний
- Можно ли использовать МРТ для предотвращения инсультов и других серьезных осложнений
Современные методики применения МРТ в диагностике нарушений мозгового кровообращения
В наши дни одно из первых мест среди причин смертности и наступления инвалидизации населения занимают врожденные и приобретенные патологии головного мозга: от инсультов и онкологических заболеваний до травм и нервно-психических расстройств. Неудивительно, что поддержание здоровья мозга является одной из центральных проблем современной медицины. Поэтому такое важное место отводится развитию методов прогнозирования, ранней диагностики и мониторинга эффективности лечения нейропатологий различного происхождения. Среди современных технологий прижизненного неинвазивного изучения состояния центральной нервной системы лидируют методы лучевой диагностики, при этом пальма первенства принадлежит магнитно-резонансной томографии, которая предлагает наиболее широкий спектр подходов к визуализации мозговых тканей и структур
Головной мозг – одна из наиболее хорошо снабжаемых кровью областей человеческого тела. Адекватное функционирование всех отделов высшей нервной системы и сопутствующих структур обеспечивает достаточный приток артериальной крови и отток венозной , а также постоянная циркуляция спинномозговой жидкости ( ликвора ). Нарушение скорости, давления, вязкости и других параметров этих биологических жидкостей может вызвать тяжелую патологию со смертельным исходом. При этом большинство работ в этой области посвящено изучению артериального звена мозговой гемодинамики, а исследования роли венозной и ликворной систем единичны. И хотя опыт последних лет существенно расширил наши знания о ликвородинамике, до сих пор есть много нерешенных и спорных вопросов.
МРТ В ЛИДЕРАХ В основе патологических процессов в организме человека всегда лежат нарушения движения какой-либо биологической жидкости (крови, лимфы, мочи, желчи, внутрисуставной и др.), основным компонентом которой является вода. В разных органах человека в норме и при патологии существуют разные условия для перемещения таких жидкостей, что отражается на их линейной и объемной скоростях, характере движения, взаимодействии со стенками проводящих систем и других динамических параметрах.Диагностическая визуализация и количественная оценка скоростных характеристик перемещения этих субстратов считаются основой клинической диагностики во многих медицинских отраслях: кардиологии, неврологии и нейрохирургии, урологии, гастроэнтерологии и др., однако технологии прижизненной визуализации движения биожидкостей в организме человека были изобретены и внедрены в клиническую практику лишь в последние 60–70 лет.
Связанные вопросы и ответы:
1. Чем полезно МРТ при диагностике нарушений мозгового кровообращения
МРТ является очень точным методом диагностики, который позволяет визуализировать структуру мозга и выявлять нарушения кровообращения в ранние стадии. Благодаря МРТ можно увидеть даже мелкие изменения в мозге, которые могут быть причиной нарушений кровотока. Точное определение места и характера нарушений помогает врачам выбрать оптимальное лечение для пациента. Проведение МРТ не требует использования радиации, что делает этот метод безопасным для повторного использования.
2. В чем отличие МРТ от других методов диагностики нарушений мозгового кровообращения, например, КТ
Отличие МРТ от компьютерной томографии (КТ) заключается в том, что МРТ позволяет получить более детальное изображение тканей мозга, включая мягкие ткани и сосуды. Кроме того, МРТ не использует рентгеновское излучение, что делает его более безопасным для пациентов. Однако, КТ более быстрый метод диагностики и может быть предпочтителен в экстренных случаях.
3. Какие симптомы могут указывать на нарушения мозгового кровообращения
Симптомы нарушений мозгового кровообращения могут быть разнообразными и включать головную боль, головокружение, нарушения зрения, слабость в руках и ногах, потерю чувствительности или координации движений, речевые нарушения, и судороги. Часто пациенты также жалуются на общее недомогание и ухудшение памяти. Важно обратиться к врачу при первых признаках подобных симптомов для своевременной диагностики и лечения.
4. Какие причины могут привести к нарушениям мозгового кровообращения
Нарушения мозгового кровообращения могут быть вызваны атеросклерозом сосудов, тромбозом или эмболией сосудов головного мозга, гипертонической болезнью, сахарным диабетом, травмами, опухолями, нарушениями сердечного ритма и другими причинами. Важно выявить основное заболевание, вызвавшее нарушение кровообращения, для назначения адекватного лечения и профилактики рецидивов.
5. Как подготовиться к процедуре МРТ для диагностики нарушений мозгового кровообращения
Перед процедурой МРТ пациенту необходимо убедиться, что у него нет металлических имплантов или протезов, которые могут мешать проведению исследования. Также стоит уточнить врачу обо всех соматических заболеваниях и принимаемых лекарствах. На момент исследования рекомендуется снять все металлические украшения и предметы одежды. Пациенту нужно сохранять спокойствие и соблюдать инструкции медицинского персонала для успешного проведения МРТ.
6. Как проходит процедура МРТ для диагностики нарушений мозгового кровообращения
Во время процедуры МРТ пациент ложится на специальный стол внутри магнитного резонансного сканера. Врачи могут использовать контрастное вещество для более детального изображения кровеносных сосудов в мозге. Во время сканирования необходимо лежать неподвижно, чтобы избежать искажения результатов. Процедура МРТ безболезненна и обычно занимает от 15 минут до часа, в зависимости от требуемого объема исследования.
7. Какие результаты дает МРТ при диагностике нарушений мозгового кровообращения
По результатам МРТ специалисты могут определить наличие и характер нарушений кровотока в мозге, выявить области ишемии (недостатка кровоснабжения), опухоли, инфаркты или другие патологии. Исследование также позволяет оценить состояние сосудов и выявить возможные сосудистые дефекты. Полученные результаты МРТ помогают врачам поставить точный диагноз и разработать план лечения для пациента.
8. Каковы перспективы применения МРТ для диагностики нарушений мозгового кровообращения
С развитием технологий и методик МРТ становится все более точным и доступным методом для диагностики нарушений мозгового кровообращения. Появление новых возможностей, таких как функциональная МРТ и диффузионная спектроскопия, позволяет более подробно изучать процессы, происходящие в мозге при нарушениях кровообращения. Применение МРТ улучшает диагностику, помогает пациентам получить раннее лечение и предотвратить возможные осложнения.
Что такое МРТ и какой принцип лежит в его основе
Вначале немного простой теории. МРТ (MRI в английском языке) представляет собой способ получения послойного изображения внутренней структуры того или иного объекта. Грубо говоря, МРТ помогает добыть виртуальные срезы тканей и органов живого человека без вторжения в его тело — это так называемый неинвазивный метод.
В основе лежит явление, которое именуют ядерным магнитным резонансом (ЯМР), и в прошлом к аббревиатуре МРТ в начале добавляли букву «Я» (в английском вместо MRI говорили NMR). Но от слова «ядерный» решили избавиться по простой причине — чтобы не нервировать народ, хотя с бомбами или радиоактивными элементами периодической таблицы Менделеева ничего общего здесь нет.
Если это как-то поможет понять лежащие в основе явления процессы, речь в данном случае идет об измерении электромагнитного отклика атомных ядер, возбуждаемых электромагнитными волнами разных сочетаний (поэтому, кстати, и слышен ритмичный звук разной тональности) в постоянном магнитном поле высокой напряженности, указанной в теслах.
Напряженность поля влияет на качество получаемой картинки. Чем мощность меньше, тем более узкий спектр применимости томографов, которые, в свою очередь, подразделяются на несколько основных типов — от низкопольных до сверхвысокопольных (от слова «поле», а не «пол»).
Утверждать, что чем мощнее, тем лучше, не станем. Скажем так: чем мощнее, тем более универсальна и точна система. Но чем более она универсальна, тем выше ее цена, которая может исчисляться сотнями тысяч долларов и даже переваливать за миллион.
У низкопольных напряженность поля составляет до 0,5 Т. Считается, что такие томографы без контрастирования позволяют получить базовую информацию. Затем следуют среднепольные (1 Т), высокопольные (1,5 Т) и сверхвысокопольные (3 Т). Есть и более мощные, но обычным медучреждениям они не нужны.
«Многие спрашивают, какая разница между 3 Т и 1,5 Т? Принципиальное отличие — в детализации и четкости картинки», — пояснила заведующая кабинетом МРТ центра «Томография» Веста Короленок. В качестве примера она рассказала о пациенте с небольшой опухолью: аппарат с 1,5 Т ее не заметил, а на 3 Т патологию увидели, отправив человека в один из РНПЦ.
Есть также томографы закрытого и открытого типа. Одна из особенностей первых, которые более распространены, заключается в ограничениях по габаритам пациента — очень полный человек попросту не поместится в «трубу». Кроме того, страдающие от клаустрофобии могут чувствовать себя неуютно в замкнутом пространстве, где к тому же нельзя двигаться. Открытые томографы позволяют проводить исследования отдельных суставов, позвоночника и даже головы. Слабая сторона томографов открытого типа — более низкая разрешающая способность: все они являются низкопольными и имеют напряженность магнитного поля не более 0,35 Т.
Какие симптомы и признаки могут указывать на нарушения мозгового кровообращения

Острое нарушение мозгового кровообращения (ОНМК) – это остро возникающее поражение головного мозга сосудистого генеза, в результате чего возникает несоответствие между потребностями мозга в кислороде с резким снижением мозгового кровообращения.
Основные симптомы:
- Онемение, слабость или паралич (обездвиживание, снижение чувствительности) руки и (или) ноги одной половины тела.
- Перекашивание (ассиметрия) лица и (или) слюнотечение на одной стороне, опущение угла рта.
- Смещение языка относительно прямой линии.
- Нарушение глотания.
- Нарушение речи (затруднение в подборе нужных слов, фраз; нарушение понимания обращенной речи и чтения; невнятная или нечеткая речь; полная потеря речи).
- Нарушение или потеря зрения.
- Нарушение координации движений и равновесия (ощущение покачивания, вращения тела, головокружения, неустойчивость при ходьбе вплоть до падения).
- Внезапно возникшая головная боль (нередко после стресса или физического перенапряжения)
- Спутанность сознания вплоть до потери.
- Непроизвольные акты дефекации и (или) мочеиспускания.
- Развитие судорог.
- Тошнота и рвота, не приносящая облегчение.
- Ригидность (повышенный тонус) затылочных мышц.
Данные симптомы могут быть проявлением, как острого нарушения мозгового кровообращения, так и проявлением различных других заболеваний. В случае появления одного из симптомов или совокупности симптомов следует обратиться незамедлительно к врачу.
Исп.: заместитель заведующего филиалом «Станция скорой медицинской помощи» Хурко Д.К.
В чем отличия между МРТ и другими методами диагностики нарушений мозгового кровообращения

Инсульт — острое нарушение мозгового кровообращения, при котором в головном мозге происходит блокировка или разрыв кровеносного сосуда. В связи с этим возникает гибель части нервных клеток и появляются нарушения различных функций: потеря речи, паралич, резкое ухудшение зрения и т.д.
Различают три основных вида инсульта:
- ишемический — происходит при сужении или закупорке артерий, такой вид болезни еще называют инфарктом мозга;
- геморрагический — возникает из-за разрыва артерий, данный тип патологии встречается реже, чем ишемический;
- субарахноидальное кровоизлияние — ставится в том случае, если разрыв сосуда приводит к тому, что кровь попадает пространство, окружающее мозг;
- микроинсульт или транзиторная ишемическая атака представляет собой точечные нарушение мозгового кровообращения, при этом ткани мозга не повреждаются, а симптомы проходят в течение суток.
Для диагностики острых нарушений мозгового кровообращения сегодня часто применяются современные обследования КТ и МРТ. Оба метода позволяют увидеть врачам нужные структуры, но давайте разберем, в каких ситуациях лучше будет магнитно-резонансная томография, а в каких компьютерная.
Сравнение КТ и МРТ для обследований при инсульте
МРТ — диагностическое обследование, в основе работы которого лежит сильное магнитное поле. А вот во время КТ используется рентгеновское излучение. В связи с этим компьютерная томография имеет ограничения по частому использованию.
Результатом и того и другого исследования, становятся серии послойных снимков в различных проекциях.
При остром состоянии больного, в самом начале заболевания или при черепно-мозговой травме в больнице применяются КТ. Это связано с тем, что диагностику занимает всего 5 минут и позволяет исключить кровоизлияние. Однако если у пациента произошел ишемический инсульт, то его просто не будет видно на снимках, а вот геморрагический тип патологии с помощью КТ определяется достоверно и точно.
Если после инсульта уже произошло некоторое время, то проводится МРТ. При магнитно-резонансной томографии хорошо видны ишемические инсульты уже спусте 6 часов после начала патолонического проссе, также сканирование позволяет определить опухоли, очаги рассеянного склероза и другие поражения мозга.
Если подозревается микроинсульт, то здесь врачи используют только МРТ. На снимках можно разглядеть очаги поражения и выявить тип патологии (геморрагический и ишемический) даже спустя несколько месяцев после инсульта.
Выводы
Определить, какой диагностический метод нужен больному, может только врач. На МРТ нельзя определить геморрагический инсульт, если он произошел недавно, а КТ не видит ишемические нарушения.
В итоге мы получаем что, если подозревается кровоизлияние, то проводится компьютерная томография, а если закупорка сосудов или транзиторная ишемическая атака — МРТ. В отдаленном периоде показательна только МР-диагностика.
Как проходит процедура МРТ ангиографии и насколько она эффективна для обнаружения сосудистых патологий
Исследование кровеносной системы применяют в хирургии, онкологии, неврологии и других направлениях медицины. МРТ заданной области с МР-ангиографией позволяет оценить функциональность, наполненность, просвет, состояние стенок вен и артерий.
По результатам сканирования определяют характер кровоснабжения рассматриваемой зоны, выявляют очаги ишемии, некроза. При травмах томограммы визуализируют гематомы, нарушение целостности сосудистой стенки.
Показаниями к назначению МРТ сканирования в режиме ангиография служат:
- головокружения, обмороки;
- нарушение координации;
- сильные головные боли (цефалгии), не снимаемые медикаментозно;
- снижение остроты зрения, мелькание мушек перед глазами;
- ухудшение слуха, шум в ушах;
- парезы и параличи лицевой мускулатуры;
- онемение, слабость верхних и нижних конечностей;
- нарушение речи;
- ухудшение памяти;
- “шаткая” походка;
- судороги;
- боли в ногах;
- отеки нижних конечностей;
- сухость, шелушение, изъязвление кожи ног и др.
Снижение тонуса, уменьшение просвета, разрывы стенок сосуда приводят к развитию патологических изменений в окружающих тканях и органах. Нарушение проходимости коронарных артерий вызывает деструктивные, дистрофические процессы сердечной мышцы, что может стать причиной инсульта или инфаркта.

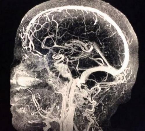
МРТ ангиография сосудов головного мозга (сагиттальный срез)
Патологии аорты, верхней и нижней полой вены сопровождаются дисфункцией органов брюшной полости и малого таза, способствуют развитию заболеваний нижних конечностей.
В диагностике поражений сосудов головного мозга МРТ с использованием режима МР-ангиографии визуализирует малейшие изменения в работе кровеносной системы.
Процедура позволяет диагностировать:
- стенозы, окклюзии - сужение и закупорку сосудистого русла;
- острое нарушение кровообращения в тканях;
- аневризму - выпячивание артериальной стенки;
- тромбозы - образование сгустка в просвете вены;
- разрывы сосудистой стенки;
- атеросклероз - отложения холестерина в просвете артерии;
- васкулиты - воспалительные изменения, утолщение и расслоение стенок;
- эмболии - перекрывание просвета артерии инородными частицами (газовой, паразитарной и др. природы);
- синдром экстравазальной компрессии - внешнее сдавление сосудистого русла;
- артерио-венозные мальформации - патологические анастомозы (соединения) кровеносных каналов;
- врожденные аномалии сосудистой системы - перегибы, раздвоения и пр;
- диссекцию (расслоение) аорты;
- тромбофлебиты - воспаление стенок вен с образованием кровянистых сгустков;
- сосудистые опухоли.
Анализ результатов магнитно-резонансной ангиографии выполняет врач МРТ. В протоколе исследования указывают:
- диаметр, проходимость сосудистого русла;
- состояние стенок, наполненность сосуда;
- наличие в просвете посторонних частиц (эмболов);
- локализацию пораженного участка;
- состояние окружающих тканей;
- функциональность вен и артерий;
- степень нарушения кровообращения в тканях;
- причины геморрагических и ишемических явлений.
МРТ исследование в режиме ангиографии назначают перед хирургическим вмешательством. На основании результатов сканирования определяют локализацию и протяженность пораженного участка, уточняют характер патологии и объем предстоящей операции.
В период реабилитации с помощью МР-ангиографии контролируют процессы восстановления, МРТ помогает своевременно диагностировать развитие осложнений.
Сканирование позволяет отслеживать течение хронических заболеваний. В этом случае МРТ ангиографию сосудов назначают с частотой 2 раза в год. Раннее выявление рецидивов способствует своевременной коррекции лечения и помогает добиться стойкой ремиссии.
В МРТ существует два вида МР-ангиографии. Методы идентичны, различие заключается в цели исследования.

МРТ шеи с МР-ангиографией
Венография направлена на изучение работы одноименных сосудов. Сканирование позволяет диагностировать воспалительные, дегенеративные процессы, признаки реверсного (обратного) потока, определить причины патологических явлений.
Артериография показана в случае появления симптомов недостаточности кровоснабжения. При необходимости проводят комплексное исследование сосудистой системы.
Как часто следует делать МРТ для контроля состояния мозгового кровообращения
По утверждению врачей, услуги МРТ на Дмитровском шоссе безопасны для пациентов любого возраста, включая детей, пожилых людей, беременных женщин и пр. Врачи часто назначают пациентам проведение этого обследования, так как оно позволяет быстро дать оценку текущего состояния их систем и органов.
При применении данной методики ионизирующее излучение отсутствует. Она основывается на использовании электромагнитных свойств атомов водорода, преобладающих над другими частицами в тканях человеческого организма в количественном отношении. Внутри томографа создано мощное магнитное поле. Частота проходящих через него радиосигналов приближена к аналогичной характеристике колебаний водорода. Возникающий резонанс усиливает радиоволны, которые фиксируются в матрице агрегата, после чего компьютер преобразует их в изображение.
Для каждого вида тканей и органов характерно определенное содержание водорода, поэтому от них отходят различные сигналы, что способствует получению точных, достаточно четких, высоко информативных изображений.
Многолетняя практика показала, что никакого вреда человеческому организму такая диагностика не наносит, случаев плохого самочувствия пациентов или поражения их внутренних органов после исследования зафиксировано не было.
Единственным недостатком этой диагностической процедуры, причиняющим пациентам определенное неудобство, является большая продолжительность процедуры, которая может длиться от пятнадцати минут до одного часа. Все это время пациенту приходится лежать неподвижно. Существенным преимуществом МРТ является отсутствие каких-либо неприятных или болевых ощущений во время проведения исследования.
Какие результаты МРТ могут помочь врачу определить дальнейшее лечение при нарушениях мозгового кровообращения
Инсульт представляет собой острое нарушение мозгового кровообращения. Это неотложное состояние развивается стремительно, сопровождается группой симптомов. В их числе:
- Острая головная боль. С точной локализацией или без таковой.
- Головокружение.
- Нарушение ориентации в пространстве.
- Слабость.
- Нестабильность артериального давления.
- Очаговые проявления. В зависимости от того, какая область головного мозга поражена.

В результате течения патологического процесса наблюдается очаговое или диффузное, распределенное поражение мозговой ткани. Заболевание подразделяется на два типа:
- Ишемический инсульт сопровождается нарушением питания тканей ЦНС без признаков нарушения анатомической целостности сосудов.
- Геморрагическая форма — сопровождается разрывом сосудов головного мозга, кровоизлиянием в ткани ЦНС.
Магнитно-резонансная томография представляет собой экстренный способ диагностики нарушения мозгового кровотока. Инсульт на МРТ головного мозга виден в первые же сутки после развития патологического процесса. Но для его выявления может потребоваться модификация метода, а не стандартная обзорная томография. МРТ после инсульта также проводится. Томография показывает степень нарушения кровотока, поражения тканей. Все же есть отдельные нюансы проведения магнитно-резонансной томографии при подозрениях на инсульт.
Какое МРТ делать после инсульта?
Томография при инсульте проводится двумя основными способами.
- Первый — стандартная обзорная томография. Долгие годы она была единственным вариантом диагностики патологического процесса. Благодаря нейровизуализации врачи получают возможность оценить состояние головного мозга, его отдельных участков. Области ишемии или геморрагии хорошо видны. Можно оценить степень нарушения, спрогнозировать вероятный исход, разработать метод грамотной терапии в определенном клиническом случае. У методики есть минус — она показывает состояние церебральных структур, выявляет патологический процесс только спустя как минимум сутки от развития расстройства. Для экстренного определения нарушения она не годится. Нужна более чувствительная методика.
- Второй — диффузионная МРТ. Эта модификация классического способа должна установить диагноз в первые 24 часа после наступления поражения церебральных структур. Томографический способ основан на способности МРТ-аппарата регистрировать особенности движения молекул воды в нервных тканях. Благодаря чему врачи получают возможность выявить область нарушения работы ЦНС, степень поражения в острейшем периоде.
Какие факторы могут повлиять на точность результатов МРТ при диагностике сосудистых заболеваний
Сканирование проводят по рекомендации доктора. Результаты исследования могут потребоваться для составления полной клинической картины уже диагностированного заболевания, изучения последствий травмы, выявления причин хронического плохого самочувствия, подтверждения подозрений врача.
МРТ сосудов головного мозга нужно сделать, если у человека есть жалобы на:
- повторяющиеся обмороки;
- прогрессирующее ухудшение зрения или слуха;
- постоянные головокружения;
- головные боли невыясненного генеза;
- шум, особенно пульсирующий, в ушах или в голове (звон, свист, писк);
- судороги;
- нарушения чувствительности и движений в конечностях, туловище, лице;

Обследование может потребоваться на этапе планирования операции, после хирургического вмешательства, для наблюдения за болезнью в динамике (опухоли, атеросклероз, тромбоз и пр.), а также для контроля эффективности назначенной терапии. Обычно процедуру проходят в плановом порядке.
Противопоказаниями для МРТ сосудов головного мозга является наличие у пациента металлических имплантатов (кардиостимулятора, кровоостанавливающих клипс, протезов и пр.). Если в исследуемой области есть инородные тела из титана (пластина, зубные протезы), необходимо предоставить документ, который подтверждает материал. Соответствующую выписку можно получить в клинике, где проводили операцию.
На результаты сканирования могут негативно повлиять брекет-системы, устройства для коррекции слуха. О них необходимо уведомить рентген-техника перед процедурой.
Можно ли использовать МРТ для предотвращения инсультов и других серьезных осложнений
Относительными противопоказаниями к проведению МРТ являются:
- беременность;
- клаустрофобия
- неадекватное поведение пациента
Абсолютные противопоказания к МРТ:
- наличие кардиостимулятора (МР-несовместимого);
- аппарат Илизарова;
- инсулиновые помпы;
- металлические искусственные клапаны сердца;
- ферромагнитные осколки в области жизненно важных органов;
- имплантат среднего уха;
- гемостатические клипсы из металла.
Какие существуют виды МРТ — изображений наиболее эффективны при ишемическом инсульте?
Диффузионно-взвешенная магнитно-резонансная томография (DWI)
Эта методика способна выявлять изменения, вызванные ишемией (нарушением кровоснабжения с последующей гипоксией), уже через 3 — 30 минут после развития, до появлений изменений на КТ и классическом МРТ.
МРТ в режиме диффузионно-взвешенных изображений обладает высокой специфичностью в диагностике ишемического инсульта, однако, наименее информативно в выявлении «свежей» крови.
Использование DWI позволяет получить информативные данные о локализации, степени поражения, распространенности в первые 48 часов от возникновения инсульта.
МРТ картина в зависимости от периода инсульта
0–24 часа от возникновения симптомов
Через 3-30 минут от развития клиники инсульта можно обнаружить ишемические изменения.
Через 1-2 часа от развития инсульта отсутствует сигнал от прохождения крови по сосудам.
Через 2–4 часа наблюдается сглаженность борозд (из-за отека), можно обнаружить зоны несформировавшегося инфаркта.
Через 8 часов регистрируется интенсивный сигнал, тоже связанный с отеком.
МРТ (магнитно-резонансная томография) - это не только диагностический метод, но и инструмент для предотвращения инсультов и других серьезных осложнений.
Относительные противопоказания к проведению МРТ
- Кардиостимуляторы
- Ограничение движения
- Кожные имплантаты
Абсолютные противопоказания к МРТ
- Имплантируемые кардиостимуляторы
- Ограничение движения с использованием магнитов
- Кожные имплантаты с магнитами
Виды МРТ-изображений для ишемического инсульта
Диффузионно-взвешенная магнитно-резонансная томография (DWI) - это метод, который позволяет выявлять изменения, вызванные ишемией (нарушением кровоснабжения с последующей гипоксией), уже через 3-30 минут после развития, до появления изменений на КТ и классическом МРТ.
МРТ в режиме диффузионно-взвешенных изображений обладает высокой специфичностью в диагностике ишемического инсульта, но наименее информативно в выявлении "свежей" крови.
Использование DWI позволяет получить информативные данные о локализации, степени поражения, распространенности в первые 48 часов от возникновения инсульта.
МРТ-картина в зависимости от периода инсульта
| Период инсульта | Характеристики МРТ-картины |
|---|---|
| 0-24 часа от возникновения симптомов | Ишемические изменения |
| 3-30 минут от развития клиники инсульта | Ишемические изменения |
| 8 часов | Интенсивный сигнал, связанный с отеком |