Лечение воспаления тройничного нерва на лице: основные методы и подходы
- Лечение воспаления тройничного нерва на лице: основные методы и подходы
- Связанные вопросы и ответы
- Что такое воспаление тройничного нерва на лице
- Какие симптомы могут свидетельствовать о воспалении тройничного нерва на лице
- Какие факторы могут вызвать воспаление тройничного нерва на лице
- Какие лекарства могут быть использованы для лечения воспаления тройничного нерва на лице
- Могут ли альтернативные методы лечения помочь в борьбе с воспалением тройничного нерва на лице
Лечение воспаления тройничного нерва на лице: основные методы и подходы
Диагностика воспаления тройничного нерва может занять достаточно длительное время, учитывая количество процедур, анализов и специалистов, которых необходимо обойти. Рентгенограмма, компьютерная томография, электронейрография, электромиография, а также анализ мочи и крови — наиболее частые процедуры при проведении диагностики воспаления тройничного нерва. Что касается непосредственно причин возникновения неврита, то для большей наглядности их можно разделить на несколько классов.
Причины возникновения неврита тройничного нерва
- Инфекционные заболевания. Часто неврит возникает на фоне туберкулеза, сифилиса и гриппа. Спровоцировать неврит могут хронические воспалительные заболевания, аллергические реакции, а также опухоли в мозге, которые сдавливают нерв.
- Травмы и механические повреждения. Травматический неврит тройничного нерва чаще всего связан с повреждением челюстей или основания черепа, при котором нервный ствол оказывается поврежден или разорван.
- Стоматологические факторы. Запущенный пульпит, пародонтит, киста и прочие стоматологические заболевания, характеризующиеся воспалительным процессом, могут спровоцировать развитие неврита. Доктора отдельно выделяют стоматологический травматический неврит. Это неврит тройничного нерва после удаления зуба, неправильного зубопротезирования и имплантации, а также после прочих стоматологических манипуляций, которые были проведены с ошибками.
- Остальные факторы. Сюда относят, прежде всего, переохлаждение, отравления, а также снижение иммунитета и нарушение функциональности систем организма.
Связанные вопросы и ответы:
Вопрос 1: Что такое воспаление тройничного нерва на лице
Ответ: Воспаление тройничного нерва на лице - это состояние, при котором тройничный нерв, который контролирует движение мышц лица и передает ощущения от лица, глаз и носа, становится воспаленным. Это может вызывать сильную боль в лице, глазах, ушах и шее, а также другие симптомы, такие как светобоязнь, головные боли и проблемы с движением лица.
Вопрос 2: Какие факторы могут вызвать воспаление тройничного нерва на лице
Ответ: Воспаление тройничного нерва на лице может быть вызвано различными факторами, такими как вирусные инфекции, такие как герпес, грипп или инфекция уха, травмы или стрессы, связанные с головой или шеей, а также некоторыми медицинскими состояниями, такими как диабет, вирус Эпштейна-Барр или некоторые виды рака.
Вопрос 3: Какие симптомы могут быть связаны с воспалением тройничного нерва на лице
Ответ: Симптомы воспаления тройничного нерва на лице могут включать сильную боль в лице, глазах, ушах и шее, светобоязнь, головные боли, проблемы с движением лица, такие как парез или паралич мышц, потеря вкуса и обоняния, а также снижение слуха.
Вопрос 4: Как диагностируется воспаление тройничного нерва на лице
Ответ: Диагностика воспаления тройничного нерва на лице обычно включает в себя медицинское обследование, включая осмотр лица и шеи, а также исследование движения мышц лица. Также может быть проведены дополнительные тесты, такие как компьютерная томография или магнитно-резонансная томография, чтобы уточнить причину воспаления.
Вопрос 5: Как лечится воспаление тройничного нерва на лице
Ответ: Лечение воспаления тройничного нерва на лице зависит от причины воспаления. Обычно лечение включает в себя медикаментозную терапию, такую как анальгетики, противовоспалительные препараты, вирусные ингибиторы или антибиотики, в зависимости от причины воспаления. Также может быть проведена физиотерапия, чтобы помочь улучшить движение мышц лица и уменьшить боль. В некоторых случаях может быть необходимо хирургическое вмешательство.
Вопрос 6: Как предотвратить воспаление тройничного нерва на лице
Ответ: Некоторые меры предосторожности могут помочь предотвратить воспаление тройничного нерва на лице. Это включает в себя соблюдение правил гигиены, таких как регулярное мытье рук и избегание контакта с людьми, у которых есть вирусные инфекции. Также важно соблюдать правила безопасности при занятии спортом и другими активностями, чтобы избежать травм головы и шеи.
Вопрос 7: Каков прогноз для людей с воспалением тройничного нерва на лице
Ответ: Прогноз для людей с воспалением тройничного нерва на лице зависит от причины воспаления и тяжести симптомов. В некоторых случаях симптомы могут пройти самостоятельно, а в других случаях лечение может быть необходимо. В целом, ранняя диагностика и лечение могут улучшить прогноз и уменьшить риск развития долгосрочных последствий.
Что такое воспаление тройничного нерва на лице
Основной симптом невралгии тройничного нерва — это интенсивная боль в области лица. Боли при невралгии бывают двух видов:
- постоянные, тупые, периодически усиливающиеся боли без широкой иррадиации, возникающие в области распространения той или другой ветви нерва и не сопровождающиеся выраженными вегетативными реакциями;
- боли пароксизмального характера, длящиеся от нескольких минут до нескольких часов.
Интенсивность приступов различна: от несильных, но частых, продолжающихся несколько секунд, до сильных и непереносимых, продолжающихся минутами и причиняющих сильные страдания.
Приступы нередко возникают спонтанно, без каких-либо раздражителей, либо в результате попадания твёрдой и холодной пищи в рот, прикосновений, сквозняков, переохлаждений под кондиционером, движений челюстями и т. п.
Приступ начинается обычно с болей в одной ветви нерва — месте первичного поражения, затем боль распространяется на другие ветви, нередко иррадиирует в затылок, к ушным нервам, в шею и даже в область грудных нервов.
Распространение боли при поражении тройничного нерва
Сильные приступы обычно сопровождаются вегетативными рефлекторными реакциями: покраснением лица, слезотечением, жидкими выделениями из носа, слюнотечением, иногда отёком щеки, века, небольшим припуханием половины носа.
К симптомам воспаления тройничного нерва также относится общее беспокойство, потирание болевой зоны рукой, давление на эту зону, причмокивание. Это наслоение новых раздражений, очевидно, ускоряет момент возникновения тормозного состояния в центре болевых восприятий, которым обычно сменяется приступ.
В качестве двигательных проявлений в связи с болевым приступом возникают тикообразные подёргивания мышц или спазматические сокращения. Максимальные подёргивания или сокращения мышц соответствуют, в основном, зонам, с которых начинается боль, т. е. местам первичного поражения.
При длительном заболевании иногда отмечается поседение волос головы на поражённой стороне.
Иногда пароксизмальные невралгии сопровождаются высыпанием herpes zoster (опоясывающий герпес), располагающегося соответственно первичным поражениям тех или других ветвей, иногда поражающего слизистую роговицы.
Высыпания herpes zoster
Периоды обострений могут чередоваться с периодами ремиссий, которые длятся месяцами, иногда годами.
Вне приступа обычно не наблюдается никаких расстройств: ни болевых точек, ни объективных расстройств чувствительности. Иногда можно отметить снижение болевой чувствительности главным образом в районе той ветви, которая являлась местом первичного поражения. Реже снижение чувствительности обнаруживается в области всех ветвей тройничного нерва. В отдельных случаях вне приступов больные испытывают лёгкие тупые боли. Болевые ощущения возникают в любое время, но чаще во сне.
Какие симптомы могут свидетельствовать о воспалении тройничного нерва на лице
Анальгетики и противосудорожные препараты
Причиной невралгии тройничного нерва является раздражение его нервных стволов, поэтому привычные обезболивающие препараты на основе парацетамола или ибупрофена малоэффективны. Они могут приносить некоторое облегчение, если невралгия вызвана воспалительным процессом в придаточных пазухах носа или зубочелюстной системе.
Так как противовоспалительные средства в большинстве случаев неэффективны, врач может рекомендовать противосудорожные препараты . Они снижают скорость нервных импульсов, а соответственно, способность нервов передавать болевые сигналы. Такие препараты принимают на постоянной основе (за исключением периодов ремиссии). Чаще всего они хорошо переносятся, но у некоторых людей возможны побочные действия: нарушение скорости реакции, снижение внимания, сонливость, аллергия.
Дополнительно для усиления противоболевой терапии назначаются миорелаксанты, антидепрессанты, реже — анальгетики центрального действия.
Контролировать безопасность терапии помогают регулярные анализы на печёночные ферменты и показатели функции почек. Периодичность лабораторных исследований определяет врач.
Со временем препараты могут терять эффективность.
Код 28.339.
Комплекс позволяет проверить работу почек, печени и жёлчного пузыря, а также выявить опасные нарушения обмена веществ.
Инъекции: блокада тройничного нерва
Временное облегчение боли могут принести инъекции стероидных препаратов и анестетиков в мышцы, расположенные вблизи выхода ветвей нерва на поверхность лица. Для достижения эффекта, как правило, требуется несколько инъекций. Период действия лечебной блокады для каждого пациента индивидуален, он зависит от состава лекарственной смеси и особенностей анатомии.
Какие факторы могут вызвать воспаление тройничного нерва на лице
Финлепсин и обезболивающие препараты могут уменьшить боль, но не влияют на причину невралгии тройничного нерва. Избежать пожизненного приема Финлепсина и обезболивающих можно, если устранить сам источник боли, который раздражает нерв и вызывает болевые импульсы. Именно так и будет построено лечение в нашей клинике. Мы обследуем Вас, найдем причину невралгии и сделаем все, чтобы помочь Вам.
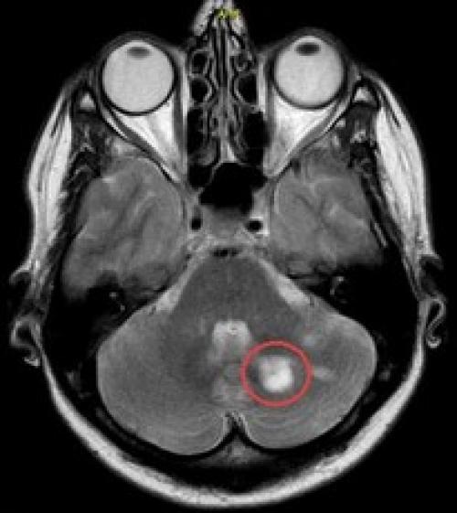
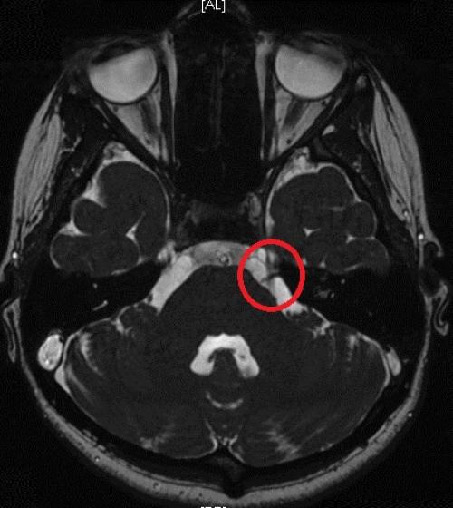
![]() | ![]() | ![]() |
| Выход пломбировочного материала за верхушку зуба вызывал жестокие боли во второй ветви тройничного нерва у мужчины. Вид сбоку:
зуба, кружком обведен | Стреляющая боль во всех трех ветвях была следствием плохого кровообращения в мозговых отделах тройничного нерва у пожилой женщины. Кружком обведен участок мозга, пострадавший от закупорки одного из сосудов головного мозга. Проверить сосуды головы и шеи | Невралгия тройничного нерва была у молодой женщины из-за давления одной из мозговых артерий на корешок тройничного нерва. На МР-томограмме видно пересечение тройничного нерва (идет вертикально) с артерией (идет горизонтально). Артерия оказывала давление на тройничный нерв в месте его выхода из ствола мозга. |
Избежать пожизненного приема Финлепсина и обезболивающих можно, если устранить сам источник боли, который раздражает нерв и вызывает болевые импульсы. Именно так и будет построено лечение в нашей клинике. Мы обследуем Вас, найдем причину невралгии и сделаем все, чтобы помочь Вам.
Какие источники раздражения тройничного нерва мы обнаруживаем чаще всего:
- Воспаление тройничного нерва (герпес и постгерпетическая невропатия тройничного нерва);
- Травматичное удаление зубов, неудачная стоматологическая анестезия;
- Травма лица и ее последствия;
- Воспалительный процесс и носа и , кисты верхнечелюстных пазух.
Какие лекарства могут быть использованы для лечения воспаления тройничного нерва на лице
Гимнастика при неврите или нейропатии может проводиться индивидуально или малогрупповым методом в положении сидя на стуле. Комплекс упражнений разделяется на три части:
- Упражнения для плечевого пояса. Выполняются в сидя на стуле и направлены на улучшение кровообращения в области шеи и головы. Они могут включать в себя отведение руки в сторону (при этом нужно будет посмотреть на нее), прикладывание кисти к плечам и вращение руками по часовой стрелке и против нее, подъемы и опускания верхнего плечевого пояса и так далее.
- Специальные упражнения – мимическая гимнастика при неврите лицевого нерва, направленная на мимические мышцы рта, бровей, глаз в пределах симметрии, при этом, важно не допускать перекос лица в здоровую сторону. Для этого мышцы здоровой стороны нужно интуитивно придерживать руками, контролируя, чтобы работали они не полностью. На больной стороне же мышцы подтягиваются, что помогает добиться нормального симметрического движения.
- Упражнения для артикуляционного аппарата, которые включают в себя произношение определенных звуков и слов.
Упражнения при неврите лицевого нерва для мимической мускулатуры выполняются между общеукрепляющими, поскольку паретичные мышцы лица склонны быстро уставать. Также играет роль выполнения дыхательных упражнений, в особенности при нарушениях речи.
Если задаваемые движения воспроизводить тяжело, для увеличения проводимости лицевого нерва на пораженной стороне используется гальванизация катодом места выхода нерва. При прохождении тока мимические движения на пораженном участке проводятся легче. Также лечебная гимнастика может проводиться на фоне тепловых процедур.
Предварительный массаж
Перед началом выполнения гимнастики для лица при неврите лицевого нерва рекомендуется сделать массаж. Он предполагает такую последовательность действий:
- С чисто вымытыми руками нужно сесть перед зеркалом и начать массаж лба. Ваши движения должны быть поверхностными и легкими, плоскостными, не провоцирующими покраснения кожи в области лба.
- После выполняется массаж области глазниц, при котором нужно смотреть вниз с закрытыми глазами (на больной стороне закрывается глаз 2-3 пальцами). Начинайте массаж от внутреннего уголка глаза к внешнему и дальше к околоушной зоне.
- Затем делается массаж области носа, начинается от с крыльев носа и продолжается к околоушной области.
- Массаж области около рта: от центра рта к углу челюсти.
- Массаж подбородка: от середины подбородка к углу челюсти.
- Массаж шеи по передней поверхности.
- Затем выполняются движения головы вперед, назад, в стороны.
- Люди молодого и среднего возраста выполняют круговые движения головой.
После массажа начинаются упражнения при парезе лицевого нерва. Они выполняются по 5-10 раз.
- Сморщивание лба.
- Закрывание глаз.
- Нахмуривание бровей.
- Втягивание носом воздуха.
- Поочередное закрывание глаз (подмигивание).
- Выполняются движения носом, имитирующие чувство недовольства.
- Затем нужно оскалить зубы.
- Улыбка уголком рта (ухмылка).
- Втягивание щек полостью рта.
- Надувание щек.
- Выполнение движений в сторону нижней челюсти
- Язык двигается в полости рта.
- Полоскание рта воздухом.
- Затем рот полоскается теплой водой.
- Губы вытягиваются вперед «трубочкой».
- Свист.
- Произносятся согласные звуки: Б, М, П, Х, Ц.
- Произносятся гласные звуки.
Комплекс упражнений вместе с подготовительным массажем делается в течение дня каждые 2-3 часа.
Гимнастика для глаз при парезе лицевого нерва
- Крепкое зажмуривание глаз -30 секунд.
- Взгляд вприщур – 30 секунд.
- Вытаращивание глаз-30 секунд.
- Затем делается нормальный взгляд.
- По 10 раз поочередно подмигивайте левым и правым глазом.
- Руку вытяните вперед, не отрывая взгляда от своего указательного пальца, ведите ее к носу, а затем, касаясь носом указательного пальца, отводите руку. Повторяется упражнение десять раз.
- Нахмурьте брови и сделайте «светлый» взгляд.
- Выполняются движения глазными яблоками справа влево.
- Тремя пальцами каждой из рук нажимайте на верхнее веко на протяжении 1-2 секунд, повторите 3-4 раза.
- Указательными пальцами нажмите на кожу в зоне надбровных дуг и постепенно закрывайте глаза. Пальцами удерживайте кожу надбровных дуг, оказывая сопротивление закрывающим глаза мышцам.
- Указательным, средним и безымянным пальцами, которые накладываются на открытые глаза, закрывайте их, создавая сопротивление. Повторить 8-10 раз.
- Закройте глаза и плавно вращайте их в такой последовательности: влево, вверх, вправо, вниз, после – в обратном направлении. Повторите по 5-10 раз в обе стороны.
Могут ли альтернативные методы лечения помочь в борьбе с воспалением тройничного нерва на лице
Причиной раздражения тройничного нерва, и как следствия сильной боли, является сдавливание нерва и разрушение миелиновой оболочки.
Такие явления могут быть вызваны опухолями, соприкосновением у основания черепа кровеносных сосудов, а именно вены и артерии, с тройничным нервом, за счет чего происходит сдавливание нерва. У молодых людей данное заболевание, обычно возникает от множественного склероза, приводящего к разрушению миелиновой оболочки тройничного нерва.
Атака невралгии тройничного нерва может быть вызвана самыми простыми явлениями. Возникновению сильнейшей боли способствуют:
- Прикосновение к лицу
- Чистка зубов;
- Дуновение легкого ветерка;
- Разговор;
- Бритье;
- Умывание;
- Нанесение макияжа;
- Удар по носу.
Симптомы невралгии тройничного нерва.
Течение такого заболевания делится на два вида : типичное и нетипичное.
К типичному течению заболевания относят периодическое возникновение, и затихание стреляющей боли. Болевые ощущения сравнимы с ударом тока.
Зачастую они проявляются при легком прикосновении к тому или иному участку лица.
При нетипичном течении заболевания отсутствуют периоды затихания боли. Болевые ощущения носят постоянный характер, охватывают большие участки лица.
При рассмотренном течении заболевание очень трудно поддается лечению .
Иногда, боль может появиться без видимых на то причин, совершенно неожиданно. В других же случаях, характерно ее появление в стрессовых ситуациях: после больших нервных потрясений, стоматологического лечения или удара по лицу.
Однако, большинство врачей полагает что, патология начала развиваться гораздо раньше , чем возникли боли, а стрессовая ситуация послужила только дополнительным толчком в развитии заболевания. Очень часто пациенты ошибочно принимают боль, возникающую от поражения тройничного нерва за зубную боль. Это объясняется проявление болевых ощущений в области нежней или верхней челюсти. При этом после стоматологического лечения боли не уменьшаются.
Симптомы, которые сопровождают патологию тройничного нерва, аналогичны симптомам, возникающим при других заболеваниях, таких как: синдром Эрнеста, невралгия затылочного нерва, височный тендинит.
При синдроме Эрнеста возникают боли в области лица и шеи, а также головные боли. Такое заболевание может быть вызвано повреждением стиломандибулярной связки, которая соединяет нижнюю челюсть с основанием черепа .
К симптомам височного тендинита относятся: головная и зубная боль, болезненные ощущения в области щеки и шеи.
При воспалении затылочного нерва болеть начинает голова сзади, а за тем боль распространяется и на лицевую часть.
Заболевание тройничного нерва — циклично, обусловленное сменой периодов обострения и затихания болевых ощущений. Обычно, боли начинаются резко, через 20 секунд достигают своего пика, длятся некоторое время, сменяясь небольшими промежутками облегчения. Частота подобных приступов у всех пациентов разная. У кого-то боли возникают один раз в день, у кого-то могут проявляться каждый час.
Лечение тройничного нерва народными средствами осуществляется несколькими способами. Но стоит иметь в виду, что такие процедуры производят кратковременный эффект, то есть они лишь на какое-то время облегчают боль, но не ликвидируют причины.
Самым простым способом, ослабляющим воспаление тройничного нерва, считается перцовый пластырь.


