Лицевой троичный нерв воспалился: причины и симптомы
- Лицевой троичный нерв воспалился: причины и симптомы
- Связанные вопросы и ответы
- Что такое лицевой троичный нерв
- Какие причины могут вызвать воспаление лицевого троичного нерва
- Каковы общие симптомы воспаления лицевого троичного нерва
- Какие методы лечения воспаления лицевого троичного нерва существуют
- Как можно избежать воспаления лицевого троичного нерва
- Какие меры предосторожности можно предпринять для предотвращения воспаления лицевого троичного нерва
Лицевой троичный нерв воспалился: причины и симптомы
Лицевой троичный нерв (V-й черепной нерв) является одним из самых важных нервов в организме человека. Он отвечает за передачу нервных импульсов от головы и лица к мозгу. Однако, иногда этот нерв может воспаляться, что приводит к ряду неприятных симптомов. В этой статье мы рассмотрим причины воспаления лицевого троичного нерва и его симптомы.
Причины воспаления лицевого троичного нерва
Воспаление лицевого троичного нерва может быть вызвано различными причинами. Некоторые из самых распространенных причин включают:
Симптомы воспаления лицевого троичного нерва
Симптомы воспаления лицевого троичного нерва могут быть различными, но самые распространенные из них включают:
Таблица симптомов воспаления лицевого троичного нерва
Лечение воспаления лицевого троичного нерва
Лечение воспаления лицевого троичного нерва зависит от причины воспаления. В некоторых случаях лечение может включать в себя антибиотики или вирусные ингибиторы для лечения инфекций, анальгетики или противовоспалительные средства для снижения боли и воспаления, или хирургическое вмешательство для удаления опухоли или новообразования.
Также важно обратиться к врачу для диагностики и лечения воспаления лицевого троичного нерва, так как некоторые симптомы могут быть связаны с другими болезнями или состояниями.
Список возможных причин воспаления лицевого троичного нерва
Список симптомов воспаления лицевого троичного нерва
В заключение, воспаление лицевого троичного нерва может быть вызвано различными причинами и может привести к ряду неприятных симптомов. Если вы испытываете симптомы воспаления лицевого троичного нерва, важно обратиться к врачу для диагностики и лечения.
Связанные вопросы и ответы:
Вопрос 1: Что такое лицевой троичный нерв
Ответ: Лицевой троичный нерв (V нерв) является одним из 12 пар черепных нервов, которые ответственны за передачу нервных импульсов из головного мозга в различные части тела. Лицевой троичный нерв является крупнейшим из черепных нервов и обеспечивает чувствительность и движение в лицевой области, а также состоит из трёх ветвей: офтальмической, максиллярной и мандибулярной.
Вопрос 2: Каковы симптомы воспаления лицевого троичного нерва
Ответ: Воспаление лицевого троичного нерва может вызывать ряд симптомов, включая боль, жжение, покалывание или онемение в лицевой области, а также покраснение и отёк кожи. Также возможны нарушения функции мышц лица, такие как парез или парез лица, которые могут привести к потере способности контролировать мимику лица или жеванию.
Вопрос 3: Какие факторы могут вызвать воспаление лицевого троичного нерва
Ответ: Воспаление лицевого троичного нерва может быть вызвано различными факторами, такими как вирусные инфекции, такие как герпес или корь, травмы головы или лица, опухоли или новообразования в области нерва, а также воспалительные процессы в области нерва, такие как синусит или остеомиелит.
Вопрос 4: Как диагностируется воспаление лицевого троичного нерва
Ответ: Диагностика воспаления лицевого троичного нерва обычно начинается с медицинской истории и физического обследования, в ходе которого врач оценивает симптомы и их продолжительность, а также проводит осмотр лица и головы. Также могут быть проведены дополнительные тесты, такие как компьютерная томография или магнитно-резонансная томография, для получения более детальной информации о состоянии нерва.
Вопрос 5: Какие методы лечения используются для воспаления лицевого троичного нерва
Ответ: Лечение воспаления лицевого троичного нерва зависит от причины воспаления и может включать в себя медикаментозную терапию, такую как противовоспалительные препараты, вирусные ингибиторы или антибиотики, в зависимости от причины воспаления. Также может быть проведена физиотерапия или мануальная терапия для улучшения функции мышц лица и уменьшения боли. В некоторых случаях может быть проведена хирургическая операция для удаления опухоли или новообразования, вызывающей воспаление нерва.
Вопрос 6: Каков прогноз для пациентов с воспалением лицевого троичного нерва
Ответ: Прогноз для пациентов с воспалением лицевого троичного нерва зависит от причины воспаления и степени его тяжести. В большинстве случаев лечение помогает уменьшить симптомы и улучшить функцию нерва. Однако в некоторых случаях воспаление может привести к постоянным нарушениям функции нерва, таким как парез или паралич лица.
Вопрос 7: Как предотвратить воспаление лицевого троичного нерва
Ответ: Невозможно полностью предотвратить воспаление лицевого троичного нерва, однако можно снизить риск его развития, соблюдая гигиену полости рта и носа, избегая травм головы и лица, а также получая профилактическое лечение для вирусных инфекций, таких как герпес или корь.
Вопрос 8: Как выдержать период восстановления после воспаления лицевого троичного нерва
Ответ: Период восстановления после воспаления лицевого троичного нерва может быть длительным и требует терпения и упорства. Важно соблюдать рекомендации врача по лечению и воздерживаться от нагрузок на нерв, таких как сильные движения лица или жевания. Также могут быть полезны физиотерапия или мануальная терапия для улучшения функции мышц лица и уменьшения боли. Важно также соблюдать здоровый образ жизни, включая здоровую диету, регулярные упражнения и достаточный сон, для поддержания иммунной системы в хорошем состоянии.
Что такое лицевой троичный нерв
Тройничный нерв — смешанный. С одной стороны он является главным чувствительным нервом лица и ротовой полости , но в его составе имеются также двигательные волокна, иннервирующие жевательные мышцы.
Тройничный нерв имеет ядро поверхностной (болевой и тактильной) — спинномозговое ядро тройничного нерва ( лат. nucleus tractus spinalis n. trigemini ) и ядро глубокой (проприоцептивной) чувствительности — собственное чувствительное ядро тройничного нерва ( лат. nucleus sensorius principalis n. trigemini ). Третье чувствительное ядро тройничного нерва направляется к среднему мозгу — среднемозговое ядро тройничного нерва ( лат. nucleus mesencephalicus n. trigemini ). Двигательная часть тройничного нерва начинается от двигательного ядра тройничного нерва ( лат. nucleus masticatorius (motorius) n.trigemini ).
Чувствительные центростремительные (афферентные) волокна тройничного нерва представляют собой дендриты мощного тройничного (гассерового) узла, в котором заложены первые чувствительные псевдоуниполярные нейроны тройничного нерва . От них отходят аксоны к телам вторых нейронов, заложенных в ядрах ствола мозга . В зависимости от того, про какую чувствительность они несут информацию (поверхностную или глубокую), имеются два чувствительных ядра тройничного нерва — глубокой и поверхностной чувствительности.
Ядро поверхностной (болевой и тактильной) чувствительности ( лат. nucleus tractus spinalis n.trigemini ) является прямым продолжением задних рогов спинного мозга . Оно проходит через мост мозга, продолговатый мозг и два верхних шейных сегмента спинного мозга. В ядре имеется соматотопическое представительство. В оральной (верхней) части ядра представлена область лица, наиболее близко расположенная к средней его линии, и наоборот, в каудальной (нижней) части — наиболее удалённые области. Их волокна совершают перекрёст и входят в медиальную петлю ( лат. lemniscus medialis ) и вместе с ней заканчиваются в зрительном бугре (его заднесрединном ядре).
Ядро глубокой (проприоцептивной) чувствительности ( лат. nucleus sensorius principalis n.trigemini ) занимает ограниченную область дорсолатеральной части покрышки моста. Оно получает афферентные (чувствительные) импульсы прикосновения, дискриминации и давления, которые в спинном мозгу проводятся задними канатиками. Аксоны вторых нейронов этого ядра также переходят на противоположную сторону и идут вместе с медиальной петлёй до вентрального заднемедиального ядра таламуса .
Третьи нейроны тройничных путей, расположенные в таламусе, посылают свои аксоны через заднюю ножку внутренней капсулы до нижней трети постцентральной извилины .
Двигательное ядро тройничного нерва ( лат. nucleus masticatorius (motorius) n.trigemini ) имеет своё ядро в покрышке моста. Оно расположено медиальнее ядра глубокой чувствительности тройничного нерва. Аксоны этого ядра выходят рядом с чувствительным корешком и присоединяются к нижнечелюстному нерву, иннервируя жевательную, височную, латеральную и медиальную крыловидные, челюстно-подъязычную мышцы, переднее брюшко двубрюшной мышцы . К двигательному ядру идут кортико-нуклеарные пути из обоих полушарий мозга.
Тройничный нерв является частью рефлекторных дуг .
Сенсорные импульсы от слизистой оболочки глаза проводятся по глазничному нерву до nucleus sensorius principalis n.trigemini. Здесь они переключаются на другие нейроны, представляющие афферентную часть дуги корнеального рефлекса и связанные с ядром лицевого нерва на этой же стороне. Эфферентная часть рефлекторной дуги представлена периферическим нейроном лицевого нерва.
Чувствительные волокна, которые несут импульсы от слизистой оболочки носа к области ядер тройничного нерва, представляют афферентную часть чихательного рефлекса . В эфферентной части этого рефлекса принимают участие несколько нервов: V, VII, IX, X и нервы, ответственные за организацию выдоха.
Какие причины могут вызвать воспаление лицевого троичного нерва
Диагностика воспаления тройничного нерва может занять достаточно длительное время, учитывая количество процедур, анализов и специалистов, которых необходимо обойти. Рентгенограмма, компьютерная томография, электронейрография, электромиография, а также анализ мочи и крови — наиболее частые процедуры при проведении диагностики воспаления тройничного нерва. Что касается непосредственно причин возникновения неврита, то для большей наглядности их можно разделить на несколько классов.
Причины возникновения неврита тройничного нерва
- Инфекционные заболевания. Часто неврит возникает на фоне туберкулеза, сифилиса и гриппа. Спровоцировать неврит могут хронические воспалительные заболевания, аллергические реакции, а также опухоли в мозге, которые сдавливают нерв.
- Травмы и механические повреждения. Травматический неврит тройничного нерва чаще всего связан с повреждением челюстей или основания черепа, при котором нервный ствол оказывается поврежден или разорван.
- Стоматологические факторы. Запущенный пульпит, пародонтит, киста и прочие стоматологические заболевания, характеризующиеся воспалительным процессом, могут спровоцировать развитие неврита. Доктора отдельно выделяют стоматологический травматический неврит. Это неврит тройничного нерва после удаления зуба, неправильного зубопротезирования и имплантации, а также после прочих стоматологических манипуляций, которые были проведены с ошибками.
- Остальные факторы. Сюда относят, прежде всего, переохлаждение, отравления, а также снижение иммунитета и нарушение функциональности систем организма.
Каковы общие симптомы воспаления лицевого троичного нерва
Финлепсин и обезболивающие препараты могут уменьшить боль, но не влияют на причину невралгии тройничного нерва. Избежать пожизненного приема Финлепсина и обезболивающих можно, если устранить сам источник боли, который раздражает нерв и вызывает болевые импульсы. Именно так и будет построено лечение в нашей клинике. Мы обследуем Вас, найдем причину невралгии и сделаем все, чтобы помочь Вам.
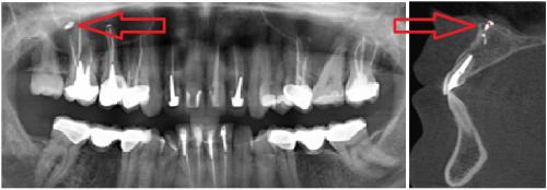
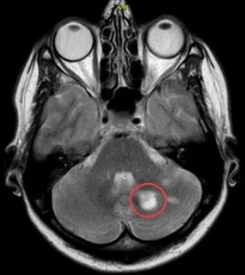
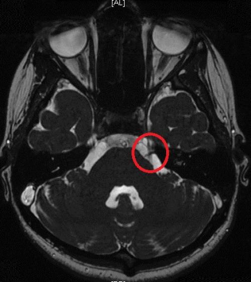
![]() | ![]() | ![]() |
| Выход пломбировочного материала за верхушку зуба вызывал жестокие боли во второй ветви тройничного нерва у мужчины. Вид сбоку:
зуба, кружком обведен | Стреляющая боль во всех трех ветвях была следствием плохого кровообращения в мозговых отделах тройничного нерва у пожилой женщины. Кружком обведен участок мозга, пострадавший от закупорки одного из сосудов головного мозга. Проверить сосуды головы и шеи | Невралгия тройничного нерва была у молодой женщины из-за давления одной из мозговых артерий на корешок тройничного нерва. На МР-томограмме видно пересечение тройничного нерва (идет вертикально) с артерией (идет горизонтально). Артерия оказывала давление на тройничный нерв в месте его выхода из ствола мозга. |
Избежать пожизненного приема Финлепсина и обезболивающих можно, если устранить сам источник боли, который раздражает нерв и вызывает болевые импульсы. Именно так и будет построено лечение в нашей клинике. Мы обследуем Вас, найдем причину невралгии и сделаем все, чтобы помочь Вам.
Какие источники раздражения тройничного нерва мы обнаруживаем чаще всего:
- Воспаление тройничного нерва (герпес и постгерпетическая невропатия тройничного нерва);
- Травматичное удаление зубов, неудачная стоматологическая анестезия;
- Травма лица и ее последствия;
- Воспалительный процесс и носа и , кисты верхнечелюстных пазух.
Какие методы лечения воспаления лицевого троичного нерва существуют
От головного мозга к различным областям тела отходят двенадцать пар черепных нервов. Часть из них передает в мозг сигналы от органов чувств, таких как зрение, слух и вкус, в то время как другие контролируют работу желез и мышц лица. Для каждого нерва установлены номер и название.
Тройничный нерв – пятая пара черепных нервов. Его функции заключаются в иннервации трех зон: глазной, нижне- и верхнечелюстной. Проще говоря, тройничный нерв отвечает за чувствительность лица и часть двигательных функций жевательной мускулатуры. Почему болит тройничный нерв?
- Сдавливание (компрессия) . Происходит, когда на нерв оказывается давление извне. Часто причиной явления служит контакт кровеносного сосуда (артерии или вены) с корешком тройничного нерва. Реже такое случается при опухолях, кистах или других образованиях.
- Повреждение . Нерв повреждается после травм головы или лица, хирургических операций, а также под воздействием инфекций или других внешних воздействий. При повреждении структура нерва нарушается, что приводит к утрате способности проводить нервные импульсы, что проявляется потерей чувствительности или двигательными нарушениями.
- Воспаление . Инфекции, такие как вирус простого герпеса, могут вызывать воспаление тройничного нерва. Также воспаление возможно в результате аутоиммунных или других патологических состояний. Воспаленный нерв становится чувствительным, что проявляется сильными болями и другими неприятными симптомами. Воспаление может носить как острый характер, так и переходить в хроническую форму, требующую продолжительного лечения.
- Дегенеративные изменения . Со временем нерв может подвергаться дегенерации, то есть постепенному разрушению, что связано с возрастными изменениями или различными расстройствами нервной системы.
Выделяют и другие патологии, способные влиять на функционирование тройничного нерва. Их перечисление служит напоминанием о том, что одни и те же симптомы могут свидетельствовать о разных по своей природе заболеваниях. Определить точную причину самостоятельно невозможно, а ведь это ключевой фактор для подбора правильного лечения.
Как можно избежать воспаления лицевого троичного нерва
Невралгия тройничного нерва периферического типа и луночковая плексалгия. Это повреждение или раздражение тройничного нерва и его ветвей – луночковых сплетений. Характерные симптомы: боль, часто жжение в челюсти и губе, боль с жгучим компонентом, возможно онемение губы, щеки, неприятные ощущения при касании. Эти симптомы могут усиливаться при накусывании. Боли могут быть монотонными, изматывающими, приводить к нервному истощению, депрессии. Чаще мы встречаем 3 варианта проблемы.
Вариант 1. Давление пломбировочным материалом на ветви тройничного нерва, луночковые нервные сплетения. После удаления нерва и пломбировки каналов болит зуб.

Стрелками показаны фрагменты пломбировочного материала (вид спереди и сбоку), который при пломбировании канала выпал за пределы зуба и «упёрся» в область залегания ветви тройничного нерва. У пациента долго болел зуб после лечения пульпита, затем онемела верхняя губа и часть щеки.
Вариант 2. Киста корня зуба раздражает ветвь тройничного нерва. Боль и онемение губы и щеки, боль при накусывании.

Стрелками показаны кисты корней зубов (вид спереди). Кисты в данном случае представляют собой замкнутые очаги инфекционного воспаления. Киста со временем набухает и создает давление на ветви тройничного нерва, отсюда онемение лица и боль. Осложнение после лечения пульпита.
Вариант 3. Онемение после удаления зуба. При повреждении тройничного нерва и его сплетений после удаления зуба может онеметь щека, губа, часть десны. Чем более извиты и деформированы корни зуба – тем выше риск повредить тройничный нерв при его удалении.
Как проверить состояние тройничного нерва. Мы предлагаем в таких случаях три способа диагностики:
1. Электромиография лица. Это исследование параметров проведения нервных импульсов по системе тройничного и лицевого нервов. В случае повреждения нерва мы регистрируем снижение его способности к проведению нервных импульсов. Подробнее про электромиографию лица
2. Рентгеновские исследования. На обычных рентгенограммах и панорамных снимках не всегда видна истинная картина болезни. Мы рекомендуем конусно-лучевую компьютерную томографию с функцией защиты от дефектов изображения от пломбировочного материала и протезов.
3. Осмотр врачом. Врач невролог видит несколько иную картину, чем стоматолог. Нам легче оценить функции нервов и мышц лица и установить источник невропатической боли. Часто именно осмотр дает больше информации, чем электромиография и рентгеновские методы.
В данном случае понимание полной картины причин проблемы – это путь к выбору оптимального лечения . Обычно это курс неврологического лечения в сочетании с решением стоматологической проблемы. Нам доводится решать проблемы 10-15-летней давности.
Какие меры предосторожности можно предпринять для предотвращения воспаления лицевого троичного нерва
Какой-то одной конкретной причины рассматриваемого патологического состояния выделить невозможно, а вот перечислить провоцирующие факторы вполне реально. И главным из них считается переохлаждение – например, езда в транспорте возле открытого окна, сон на сквозняке, длительное пребывание непосредственно под работающим кондиционером и так далее. Но кроме этого, воспалительный процесс могут спровоцировать:
- атеросклероз позвоночных артерий и другие сосудистые нарушения;
- различные инфекционные заболевания – например, корь, эпидемический паротит, герпес и другие;
- обезболивание нижнего альвеолярного нерва, которое проводят стоматологи;
- черепно-мозговые травмы разной степени тяжести;
- воспалительные заболевания головного мозга, уха и/или лицевых пазух;
- новообразования доброкачественного или злокачественного характера, локализующиеся в головном мозгу.
По причине многообразия провоцирующих факторов врачи условно классифицируют рассматриваемое заболевание на два вида:
- первичный неврит– возникает как следствие переохлаждения, но органические изменения в области головного мозга отсутствуют; вторичный неврит лицевого нерва– прогрессирует на фоне имеющихся патологий ЛОР-органов и заболеваний головного мозга.
Врачи отмечают, что воспаление лицевого нерва, известное как лицевой паралич или болезнь Белла, проявляется рядом характерных симптомов. К основным признакам относятся внезапная асимметрия лица, затруднения при закрытии глаза, изменение вкусовых ощущений и повышенная чувствительность к звукам. Важно, что симптомы могут развиваться быстро, иногда в течение нескольких часов.
Для диагностики заболевания специалисты рекомендуют проводить неврологическое обследование и, при необходимости, дополнительные исследования, такие как МРТ. В лечении воспаления лицевого нерва врачи часто назначают противовоспалительные препараты, такие как кортикостероиды, а также физиотерапию для восстановления мышечной функции. В некоторых случаях может потребоваться использование антидепрессантов для улучшения общего состояния пациента. Важно, чтобы лечение начиналось как можно скорее, так как это может значительно повысить шансы на полное восстановление.


