Сосудистый генез головного мозга. Причины сосудистой энцефалопатии
- Сосудистый генез головного мозга. Причины сосудистой энцефалопатии
- Сколько живут с глиозом. Общие сведения
- Генез заболевания это. Генез простыми словами для чайников
- Центральный генез это. Причины поражений ЦНС:
- Резидуальный генез головного мозга. Каковы причины развития резидуальной энцефалопатии?
- Продолжительность жизни с глиозом головного мозга. Глиоз белого вещества мозга –, что это?
- Генез виды. Заболевания сосудистого происхождения
- Очаги в головном мозге лечение. Общемозговые симптомы
Сосудистый генез головного мозга. Причины сосудистой энцефалопатии
Головной мозг кровоснабжается крупными артериальными стволами, образующими в его основании замкнутую систему сосудов — Виллизиев круг . Эта анатомическая структура чрезвычайно важна не только при нормальной работе мозга, но и при патологии, обеспечивая «переток» артериальной крови туда, где ее недостаточно.
Мозг имеет значительные резервы по компенсации кровообращения в условиях неблагополучия, однако его возможности не безграничны. Хроническая сосудистая патология, образ жизни и условия внешней среды способны нарушить равновесие артериальной системы мозга и вызвать декомпенсацию кровообращения .

недостаток кровоснабжения мозга по сосудистым причинам, развитие ишемии
Морфологическую основу сосудистой энцефалопатии составляет хроническая ишемия нервной ткани, связанная с недостаточным притоком артериальной крови. Среди причин такой ишемии наибольшее значение отводится:
- Атеросклеротическому поражению сосудов головы и шеи;
- Артериальной гипертензии ;
- Патологии позвоночных артерий, в том числе — на фоне дегенеративных процессов в позвоночнике;
- Обменным нарушениям — диабет , ожирение, эндокринная патология.
Несколько реже в числе причин сосудистой энцефалопатии фигурируют воспалительные изменения стенок артерий и артериол (васкулиты), травмы, нарушения ритма сердца, частая стойкая или постоянная гипотония.
Более половины всех случаев сосудистой энцефалопатии связаны с атеросклерозом, поражающим церебральные артерии.
На втором месте — гипертония, как в качестве основного заболевания, так и осложняющая патологию почек, опухоли надпочечников, эндокринные заболевания.
При атеросклерозе происходит частичная или полная обструкция просвета сосуда жиро-белковой бляшкой , мешающей движению крови к нервным клеткам. Присоединяющийся тромбоз или увеличивающийся размер бляшки могут привести к острому нарушению кровоснабжения — инсульту, риск которого при энцефалопатии многократно повышается.

закупорка бляшками артерий и артериол питающих мозг , их плохая проходимость, тромбозы и спазмирование – основная причина развития сосудистой энцефалопатии
Гипертензивная энцефалопатия развивается по причине длительного спазма артерий и артериол, необратимых структурных изменений в стенках сосудов, влекущих снижение объема проходящей по ним крови.
Позвоночные артерии обеспечивают доставку трети всей артериальной крови к мозгу, поэтому их сдавление на фоне остеохондроза, грыжи, нестабильности, врожденные сужения неминуемо приводят к снижению питания головного мозга с развитием энцефалопатии.
Виной ишемии мозга могут стать поражения не только внутричерепных артериальных ветвей. Нередко она развивается при атеросклерозе, тромбозе, аномалиях хода шейных сосудов, нарушениях ритма с внутрисердечным тромбообразованием.

В основе патогенеза прогрессирующей сосудистой энцефалопатии лежит длительная гипоксия из-за недостатка артериальной крови, в результате чего нейроны не получают нужного количества кислорода и питательных веществ. На фоне гипоксии происходят дистрофические и ишемические изменения, клетки мозга гибнут, образуются очаги разрежения или рассеянные мелкоочаговые инфаркты мозга.
Самыми чувствительными к гипоксии считаются глубокие отделы белого вещества и подкорковые ядра, лежащие на стыке двух источников кровоснабжения — ветвей внутренней сонной и позвоночной артерий. Несовершенство компенсаторных механизмов кровотока в этих отделах мозга приводит к разобщению деятельности коры и подкорки.
Последние исследования показывают, что именно нарушение взаимодействия между корой и подкорковыми структурами лежит в основе нарастающей дисциркуляции и энцефалопатии с характерными расстройствами интеллекта, двигательной и эмоциональной активности.
В начальной стадии заболевания изменения нейронов могут быть обратимы в условиях правильного лечения, однако со временем ишемия нарастает, вызывая стойкую неврологическую симптоматику и инвалидность.
Сколько живут с глиозом. Общие сведения
Глиоз головного мозга представляет собой патологический процесс, проявляющийся замещением нейронов глиальными элементами. Глиоз не является самостоятельным заболеванием, скорее это защитная реакция на гибель нейронов, то есть вторичный процесс. При этом, процесс разрушения нейронов стимулирует заполнение глиальными клетками образовавшихся пустот, что приводит к изменению количественного соотношение элементов нервной ткани.
Ткань мозга состоит из совокупности нейронов, эпендимальной мембраны и глиальных клеток. В норме глиальная ткань ответственна за трофическую/секреторную функции и обмен веществ в клетках мозга, а также выполняет функцию защиты нейронов. На ее долю приходится около 40% от общей массы мозга. Разрастание глиальных клеток образует очаги глиоза в белом веществе головного мозга, которые в зависимости от этиологии первичного заболевания могут иметь очаговый/диффузный характер. Располагаться очаги глиоза могут в любой области (структурах) головного мозга. И чем в большем объеме образуются глии, тем менее эффективно функционирует ЦНС. При большом разрастании глии может образовываться кистозно-глиозный атрофированный участок ткани головного мозга.

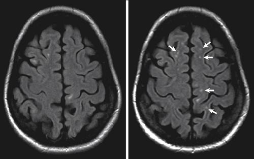
Кора головного мозга. Очаг ишемического поражения и перифокальная зона
Статистических данных о встречаемости различных видов глиоза нет. Можно лишь отметить, что наиболее часто встречаются супратенториальные очаги глиоза.
Супратенториальные очаги — что это такое? Супратенториальные — это очаги глиоза сосудистого происхождения. Различные патологические процессы в сосудах головного мозга ( тромбоз , фиброз , некроз ), вызывающие расстройство процесса кровообращения способствуют образованию мелких гипер/гипертензивных участков, которые сопровождаются такими расстройствами как плохая координация, головокружение , изменение почерка.
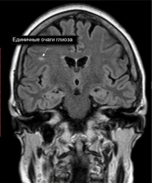
Единичные очаги глиоза
Для очагового глиоза характерны единичные четко ограниченные островки в белом веществе, размер и расположение которых определяется причинами гибели нейронов. Встречаются у лиц любого возраста и, может быть, как проявлением естественных возрастных дегенеративных процессов в тканях мозга, ишемии церебральных структур , локального воспалительного процесса, хронической гипертонии , процесса демиелинизации , так и следствием травм в родах у младенцев.

Единичный очаг глиоза
Обычно единичные (ограниченные очаги) глиоза головного мозга являются случайной находкой на КТ/МРТ, поскольку в большинстве случаев они клинически не проявляются и дискомфорта не приносят, за исключением их локализации в лобной доле, где расположены центры, ассоциирующиеся с чувствами и ощущениями, что может проявляться появлением галлюцинаций . Единичный глиоз головного мозга не склонен к разрастанию.
Множественные очаги глиоза
Появление множественных очагов глиоза обусловлено травмами и острыми/хроническими нарушения кровообращения мозга, то есть, сосудистого генеза. По мере развития патологии/заболевания, взывающих гибель нейронов происходит увеличение как количества, так и размера измененных участков.

Множественные очаги глиоза
Возникают преимущественно на фоне выраженного атеросклероза , инсульта , инфаркта мозга , при сдавлении сосудов мозга и в результате возрастных изменений. Множественные очаги глиоза в своем большинстве усиливают клиническую симптоматику основного заболевания и вызывают нарушение функции ЦНС.
Генез заболевания это. Генез простыми словами для чайников
Генез – это понятие, которое описывает, как возникают, развиваются и образуются болезни. В простых словах, это процесс, который приводит к появлению и развитию заболевания.
В начале генеза может быть некий фактор, который вызывает первичное возникновение болезни. Этот фактор может быть разным в зависимости от конкретного заболевания. Например, для простуды это может быть контакт с больным человеком, а для рака – воздействие вредных веществ или генетическая предрасположенность.
После первичного возникновения болезни происходит ее развитие. Это означает, что заболевание начинает активно прогрессировать и влиять на организм. Например, если мы болеем гриппом, то симптомы становятся все более выраженными, появляются проблемы с дыханием, головной боль и другие неприятные ощущения.
Затем генез болезни может привести к осложнениям. Осложнения – это дополнительные проблемы, которые возникают в результате заболевания и могут иметь серьезные последствия для здоровья. Например, грипп может привести к пневмонии, что может потребовать госпитализации и специального лечения.
В конце генеза наступает стадия выздоровления. Это процесс восстановления здоровья после болезни. Здесь организм борется с инфекцией или иным фактором, вызвавшим заболевание, и восстанавливает свои функции. Но важно помнить, что выздоровление может быть разным для разных людей и зависит от многих факторов, включая общее состояние здоровья и иммунитет организма.
В итоге, генез – это процесс, который описывает, как возникают, развиваются и исчезают болезни. Понимание генеза позволяет врачам и другим медицинским специалистам более эффективно предотвращать, диагностировать и лечить заболевания, а также разрабатывать новые методы и подходы к медицинской практике.
Центральный генез это. Причины поражений ЦНС:
Пери-интранатальная патология
Во время беременности или родов даже незначительное влияние на организм матери может негативно отразиться на состоянии ребенка. Например, кислородное голодание (асфиксия), преждевременное отслоение плаценты, а также длительные роды могут повлечь за собой необратимые процессы в клетках головного мозга ребенка. Негативно может повлиять и снижение тонуса матки
В некоторых случаях это может повлечь за собой гибель ребенка в возрасте от 5 до 15 лет. Если жизнь удается сохранить, такие дети подвержены риску стать инвалидами в самом раннем возрасте. Практически всегда нарушения, которые были описаны выше, приводят к нарушениям психической сферы. Если изначально был снижен умственный потенциал, это может привести к формированию отрицательных черт характера
Различные психические нарушения у детей могут проявляться следующим образом:
- Задержка развития речи,
- двигательная заторможенность,
- отсутствие интересов к чему-либо,
- нарушенный сон,
- вялость,
- перепады настроения,
- эмоциональная нестабильность,
- сексуальная расторможенность,
- несдержанность,
- существенные нарушения познавательных процессов.
Черепно-мозговые травмы
ЧМТ - это повреждения мягких тканей головы, черепа или головного мозга. Причиной может стать автомобильная авария или же бытовая травма. Черепно-мозговые травмы принято делить на закрытые и открытые. Определить наличие открытой травмы можно в том случае, когда есть сообщение полости черепа с внешней средой. Если сообщения нет – травма закрытая.
В клинике могут присутствовать как психические, так и неврологические нарушения. Неврологические проявляются в нарушениях движения конечностей, дефектах речи и сознания. Также могут возникать и эпилептические приступы. Нередкими являются и поражения черепно-мозговых нервов.
Психические нарушения провоцируют возникновение нарушений поведения, а также различные когнитивные дефекты. Когнитивные нарушения могут проявляться посредством неспособности ребенка получать и обрабатывать информацию, которая «приходит» извне. Также существенно снижается способность ребенка к обучению, самостоятельному принятию решений, страдает логика и мышление. Такие нарушения могут сопровождаться повышенной агрессивностью, замедленными реакциями на различные раздражители. Также присутствуют безосновательные страхи, астения, дезорганизация, быстрые смены настроения.
Пери-интранатальная патология
Во время беременности или родов даже незначительное влияние на организм матери может негативно отразиться на состоянии ребенка. Например, кислородное голодание (асфиксия), преждевременное отслоение плаценты, а также длительные роды могут повлечь за собой необратимые процессы в клетках головного мозга ребенка. Негативно может повлиять и снижение тонуса матки
В некоторых случаях это может повлечь за собой гибель ребенка в возрасте от 5 до 15 лет. Если жизнь удается сохранить, такие дети подвержены риску стать инвалидами в самом раннем возрасте. Практически всегда нарушения, которые были описаны выше, приводят к нарушениям психической сферы. Если изначально был снижен умственный потенциал, это может привести к формированию отрицательных черт характера
Различные психические нарушения у детей
- Задержка развития речи
- Двигательная заторможенность
- Отсутствие интересов к чему-либо
- Нарушенный сон
- Вялость
- Перепады настроения
- Эмоциональная нестабильность
- Сексуальная расторможенность
- Несдержанность
- Существенные нарушения познавательных процессов
Черепно-мозговые травмы
ЧМТ - это повреждения мягких тканей головы, черепа или головного мозга. Причиной может стать автомобильная авария или же бытовая травма. Черепно-мозговые травмы принято делить на закрытые и открытые. Определить наличие открытой травмы можно в том случае, когда есть сообщение полости черепа с внешней средой. Если сообщения нет – травма закрытая.
Резидуальный генез головного мозга. Каковы причины развития резидуальной энцефалопатии?

Резидуальная энцефалопатия – это сопутствующее заболевание, которое характеризуется нарушением в работе нервной ткани в головном мозгу и сопровождается гипоксией оболочек. В международном классификаторе болезней этот вид рассматривают, как энцефалопатию неуточненного генеза
Согласно природе появления, заболевание делится на врожденную и приобретенную. При первом варианте играют роль факторы, которые возникли в перинатальный период и привели к нарушению кислородного питания мозга. Во втором случае, когда диагностика после рождения не проводилась или симптоматика проявила себя много позже, то энцефалопатия называется приобретенной.
К основным причинам появления резидуальной энцефалопатии относятся:
• у детей нарушения возникают во внутриутробном периоде в результате инфекционных заболеваний, перенесенных матерью. Частой причиной бывает так называемая гипоксия плода или родовые травмы (обвитие пуповиной и другие). Кроме того, на развитие резидуальных нарушений влияет образ жизни беременной женщины и наличие вредных привычек
• во взрослом возрасте к появлению патологических изменений мозговой ткани могут привести частые травмы головы (боксеры), серьезное облучение радиацией, работа на вредном химическом производстве, длительная задержка поступления кислорода к мозгу в результате инсульта, закупорки артерий холестериновыми бляшками. Дополнительными факторами являются сахарный диабет, сбои в работе эндокринной системы.
Симптомы резидуальной энцефалопатии разделяются по неврологическим проявлениям. Цефалгический синдром характерен частыми мигренями, вестибулярный затрагивает нарушения координации движений и мелкой моторики. Интеллектуальные задержки связаны с нарушением памяти, вниманием и интеллектом.
В дополнение ко всему у пациентов, страдающих резидуальными нарушениями отмечается хроническая вялость и усталость, снижение тонуса и депрессивное состояние.
Продолжительность жизни с глиозом головного мозга. Глиоз белого вещества мозга –, что это?
Данный процесс представляет собой достаточно тяжелое морфофизическое нарушение патологического характера, которое протекает в тканях головного мозга под воздействием определенных экологических факторов, которые носят травмирующий характер.
Этот процесс сопровождается значительным разрастанием рубца, образованного на травмированном участке, на котором погибли нейроны.
Данный рубец в медицине называют нейроглией.
Под этим термином понимают дополнительное тканевое вещество головного мозга, который составляет порядка 30% от общей массы ткани мозга. Основной функцией нейроглии выступает обеспечение защиты мозгового вещества от воздействия патогенных микроорганизмов и различных повреждений. Также нейроглия вырабатывает полезные вещества и принимает участие в обменных процессах.
При получении травмы или инфекционном поражении мозговых клеток объем нейроглии увеличивается. На поврежденном участке мертвых нейронов обычно образуется рубцовая ткань.
Однако нейроглия исключает ее формирование, поскольку сама становится своеобразным биопроводником.
Главная проблема заключается в том, что нейроглия не способна функционировать наподобие естественной нервной ткани. Это в свою очередь вызывает серьезные проблемы со здоровьем.
Очень четко видны очаги глиоза на МРТ головного мозга .
При повреждениях мозговых тканей наблюдаются следующие симптомы:
- Усталость, которая носит хронический характер. Человек испытывает беспричинные приступы переутомления, даже находясь в состоянии покоя.
- Продолжительные и неутихающие головные боли, которые могут сопровождаться головокружением, тошнотой, боязнью света, рвотой.
- Резкие скачки артериального давления, включая состояния артериальной гипертензии разной степени сложности.
- Эпилептические припадки и судороги. Если присутствует большой очаг поражения, то также могут наблюдаться неврологические симптомы.
- Нарушение координации движения, связанные с расстройствами мозжечка, что приводит к получению травм разной степени тяжести.
- Сбои в работе кратковременной и долговременной памяти.
- Возникновение звуковых и обонятельных галлюцинаций.
- Отсутствие способности ясно излагать свои мысли вслух и в письменной форме, что обусловлено образованием в мозге очага в области, отвечающей за формирование устной и письменной речи.
- Резкие перепады настроения, которые могут сопровождаться повышенной агрессией, депрессивными состояниями, абсолютной апатией ко всему.
Генез виды. Заболевания сосудистого происхождения
Сосудистый генез – это указание на происхождение патологии, а не ее название.
Первоочередно подразумеваются патологические нарушения, связанные со следующими сосудистыми структурами:
- артериями;
- венами;
- венулами.
Подобные нарушения кровотока головного мозга разделяются на три основные группы, рассмотренные в таблице:
| Виды нарушений кровотока головного мозга | |
| Вид | Описание |
| Закупорка артерий | Характеризуется сужением артериального русла на любом отрезке артерий и становится причиной ухудшенного питания мозга, что в значительной степени сказывается на функциональных возможностях обслуживаемых зон ГМ. Данное нарушение может спровоцировать патологические изменения ишемического характера. Лечение патологий данной группы может требовать хирургических манипуляций. |
| Транзиторные нарушения кровоснабжения | Транзиторные нарушения кровоснабжения структур головного мозга подразделяются на 2 подгруппы – очаговые и общемозговые. Общемозговые нарушения кровотока становятся причиной частых и интенсивных головных болей, позывов ко рвоте, тошноты. Очаговые нарушения характеризуются кратковременными сбоями двигательных функций и чувствительности обособленных участков. Данный тип нарушений кровотока ГМ является полностью обратимым – при соответствующем и своевременном лечение возможно возобновить полную функциональность. |
| Разрыв аневризмы | Кровоизлияние в мозг. Эти нарушения кровоснабжения представлены инсультами геморрагического либо ишемического характера. |
Очаги в головном мозге лечение. Общемозговые симптомы
В начальной стадии для глиомы характерны общемозговые симптомы. К ним относится головная боль, носящая тупой, распирающий или давящий характер. Она может появляться в утренние или вечерние часы, на фоне психоэмоционального напряжения, а также усиливаться при физической нагрузке. Помимо головной боли, может беспокоить головокружение и неустойчивость при ходьбе, пациенты нередко теряют сознание и падают. По утрам после сна или при резком повороте и наклоне головы могут возникать тошнота и рвота, но эти симптомы встречаются и при полной неподвижности. Рвота, появляющаяся при сильной головной боли, часто приносит облегчение.
Помимо перечисленных симптомов, опухоль головного мозга может проявляться дискомфортом в голове, потерей аппетита, снижением веса, ухудшением зрения, эмоционально-волевыми расстройствами, проблемами с памятью, ухудшением работоспособности и умственной деятельности.
- .