Получено первое ясное указание на связь вируса зика с микроцефалией.
Стремительное, почти как лесной пожар, распространение вируса зика по миру вызывает у медиков все большую тревогу. У взрослых людей инфекция проходит практически незаметно, однако есть основания подозревать, что у растущего в утробе матери ребенка вирус может вызывать крайне опасные нарушения развития, заканчивающиеся микроцефалией.
Все подробности о вирусе, его кровососущем разносчике и вызываемой им болезни можно найти в популярном путеводителе NS "Зика: Новая Угроза". Там же можно узнать, что связь инфекции с микроцефалией все еще остается довольно смутной. Пока что основным указанием на это является подозрительный рост данного заболевания на территориях, где распространяется зика. Однако корреляция, как известно, еще ничего не говорит о причинно-следственной связи.
Между тем недавняя Находка медиков из университета любляны доказывает, что связь все-таки существует. Как сообщают авторы в New England Journal of Medicine, у беременной женщины, вернувшейся из Бразилии в Европу, уже на 29-й неделе с помощью узи были обнаружены летальные нарушения развития плода и микроцефалия.
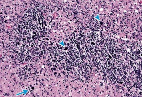
После срочно сделанного аборта ученые получили возможность провести аутопсию и детальный анализ пораженных органов, в том числе мозга. Нарушения мозговой ткани действительно глубокими оказались. Авторы отмечают микроцефалию при почти полном отсутствии извилин коры больших полушарий, водянке и множественной дистрофической кальцификации сосудов коры и подкоркового белого вещества.
Однако самой значительной Находкой оказались многочисленные частицы флавивируса, присутствующего в мозге. Секвенирование генома подтвердило: это зика.